

पणजी, वास्को येथील डॅफोडिल्स मल्टी स्पेशालिटी हॉस्पिटलमध्ये एका ७४ वर्षीय रुग्णावर एका महत्त्वाच्या यशस्वी शस्त्रक्रियेद्वारे मोठा किडनी ट्यूमर काढण्यात आला असल्याची माहिती एका प्रसिध्दीपत्रकाद्वारे देण्यात आली आहे.
या रुग्णाला याआधीच्या ह्रदयरोग/स्ट्रोक, उच्च रक्त शर्करा व उच्च रक्तदाब अशा व्याधी असूनही ही शस्त्रक्रिया यशस्वीपणे पार पडली असल्याचे पत्रकात नमूद करण्यात आले आहे.
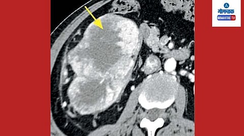
२५ सें.मी.x १५ सें.मी. x १० सें.मी एवढा ट्यूमर काढण्यात वरील हॉस्पिटलच्या डॉक्टरांनी यश प्राप्त केले आहे. त्याआधी या रुग्णाच्या सर्व तपासण्या (ट्रीपल फेज सीटी, सीटी चेस्ट, ह्रदयविषयक चाचण्या, फुफ्फुसविषयक चाचण्या) पूर्ण झाल्यानंतर त्यांच्यावर राईट रॅडिकल नेफ्रॅक्टॉमी शस्त्रक्रिया करण्यात आली.
या शस्त्रक्रियेनंतर सदर रूग्ण पूर्णपणे सावरला व तिसऱ्या दिवशी चालायला लागला व पाचव्या दिवशी त्याला घरी पाठवण्यात आले अशी माहिती देण्यात आली.
ही शस्त्रक्रिया करणाऱ्या डॅफोडिल्स मल्टी स्पेशालिटी हॉस्पिटलच्या डॉक्टरांच्या या टिममध्ये डॉ. गुरप्रीत गिल (सीनियर स्पेशालिस्ट युरो-आँकोलॉजी सर्जन) व डॉ. दीपक कुवेलकर यांचा समावेश होता.
रुग्णाची तब्येत सुधारली
रूग्णावरील बायोप्सीत त्याला किडनीतील पेशींचा कॅन्सर असल्याचे निदान झाले होते. सदर रुग्णाची तब्येत आता सुधारली असून जखमा भरून आल्या आहेत, त्याची भूक पूर्ववत झाली आहे व चालणेही होत आहे. या रोगाविषयी माहिती देताना डॉ. गिल यांनी अशा बाबतीत मध्यमवयीनांमध्ये योग्य वेळी लवकर तपासण्या करणे आवश्यक असल्याचे सांगितले.
दैनिक गोमंतकचे सदस्य व्हा
शॉपिंगसाठी 'सकाळ प्राईम डील्स'च्या भन्नाट ऑफर्स पाहण्यासाठी क्लिक करा.
Read Goa news in Marathi and Goa local news on Tourism, Business, Politics, Entertainment, Sports and Goa latest news in Marathi on Dainik Gomantak. Get Goa news live updates on the Dainik Gomantak Mobile app for Android and IOS.